4.8/5 Opinie Google
Doświadczeni Lekarze
Nowoczesna Klinika
100% Bezpieczeństwa
Ocena 4.8/5 przez klientów (Google)

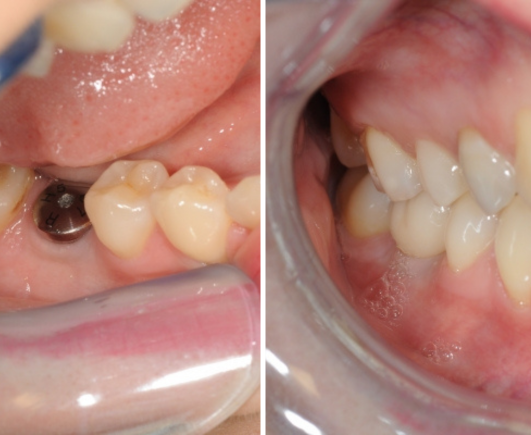
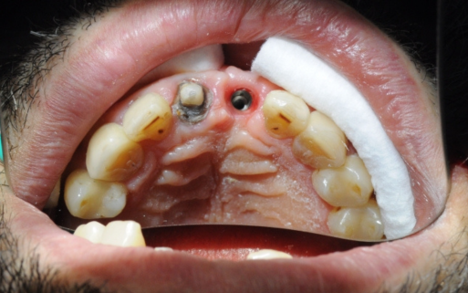
PRZED
PO
Jak implantologia zmienia życie pacjentów – opinie i refleksje po zabiegu w FORESTIAdent

Czym Jest Implant Zębowy i Proteza Na Implantach?
Mimo postępu w stomatologii , wielu pacjentów traci zęby na skutek próchnicy, chorób przyzębia lub urazów.
Do niedawna jedynym sposobem leczenia i uzupełnienia braków zębowych było wykonanie mostów i protez.
Dzisiaj, dodatkowo do wyboru mamy leczenie w postaci implantów.
Implant to niewielka tytanowa „śrubka” , która zastąpi utracony korzeń.
Umieszczany na stałe w kości szczęki lub żuchwy uzupełnia braki w naturalnym uzębieniu pacjenta.
Na implancie lokuje się ceramiczną koronę, którą ujednolica się z pozostałymi zębami - wygląda więc jak naturalny ząb.
Dzięki temu, że implanty zębów są najbardziej komfortowym i najtrwalszym rozwiązaniem zbliżonym do naturalności, pacjent zapomina, że w ogóle je posiada.
Rozwiązaniem obejmującym większą ilość utraconych zębów lub nawet całkowite bezzębie są mosty i protezy na implantach.

Proteza na implantach
Implant z koroną
Nowy Uśmiech Na Zawsze

Lepsza estetyka – Implanty wyglądają jak naturalne zęby i są bardziej estetyczne niż protezy.
Eliminują problemy z wymową, zapewniając swobodną i wyraźną mowę.
Działają jak naturalne zęby, umożliwiając jedzenie bez dyskomfortu.
Nie ingerują w sąsiadujące zęby, co sprzyja ich zdrowiu.
Tytanowe implanty mogą służyć całe życie.
Nie wymagają kleju, co zwiększa komfort w porównaniu do protez ruchomych.

W naszej klinice oferujemy nowoczesne metody uzupełniania braków zębowych, takie jak mosty, protezy oraz implanty.
Implanty zębowe to tytanowe wszczepy, które zastępują korzenie utraconych zębów, umożliwiając osadzenie na nich ceramicznych koron wyglądających jak naturalne zęby. To trwałe i wygodne rozwiązanie, dzięki któremu zapomnisz, że masz implanty.
Dla pacjentów z większymi brakami zębowymi lub całkowitym bezzębiem proponujemy mosty i protezy na implantach – nowoczesne i stabilne opcje zapewniające maksymalny komfort.
Wielu młodszych pacjentów, w wieku 25-35 lat, ignoruje problem utraty pojedynczego zęba, uważając go za mało istotny. Tymczasem nawet brak jednego zęba może prowadzić do poważnych konsekwencji, takich jak
Nieuzupełniona przestrzeń zęba powoduje stopniową utratę kości w tym miejscu, dlatego warto odtworzyć brakujący ząb implantem z koroną. Wczesna odbudowa zęba pozwala uniknąć wyższych kosztów w przyszłości, które mogą obejmować dodatkowe zabiegi, takie jak odbudowa kości czy podniesienie dna zatoki szczękowej. Nie czekaj – jeśli brakuje Ci jednego zęba, skontaktuj się z nami i przywróć estetykę oraz funkcjonalność swojego uśmiechu!




Jeśli straciłeś trzy lub więcej sąsiadujących zębów, idealnym rozwiązaniem może być most na dwóch implantach. Zamiast odbudowywać każdy ząb oddzielnie, dentysta umieszcza dwa implanty na krańcach brakującej przestrzeni, a następnie mocuje na nich most składający się z trzech, czterech lub nawet pięciu koron.
To rozwiązanie jest bardziej ekonomiczne, ponieważ wymaga mniejszej liczby implantów niż odbudowa każdego zęba osobno, co przekłada się na niższe koszty. Most to zestaw połączonych koron, które skutecznie przywrócą funkcjonalność i estetykę Twojego uśmiechu.
Jeśli jesteś zmęczony tradycyjnymi protezami, oferujemy nowoczesne i komfortowe rozwiązania oparte na implantach stomatologicznych. Te innowacyjne protezy doskonale imitują naturalne zęby, nie uwierają dziąseł i dają pewność siebie, poprawiając estetykę twarzy.
Nasze rozwiązania są stabilne, nie przesuwają się ani nie wypadają podczas jedzenia czy mówienia, a także nie wymagają stosowania kleju do protez. Możesz w nich nawet spać bez obaw o zadławienie!
Szczególnie polecamy metodę All-on-4™, która zapewnia nowe, trwałe zęby, mocowane na czterech implantach – bez potrzeby przeszczepu kości. To idealna opcja nawet dla pacjentów z zanikiem kości, gwarantująca komfort i funkcjonalność na lata.




Oferujemy nowoczesne rozwiązanie, jakim jest proteza mocowana na 2 implantach. Implanty są wszczepiane w miejscach brakujących zębów, a następnie łączone za pomocą specjalnych łączników lub belki z protezą. Dzięki temu proteza jest stabilna i pewnie trzyma się w ustach, umożliwiając swobodne jedzenie, mówienie oraz uśmiechanie się.
Nie musisz już zmagać się z niewygodnymi, ruchomymi protezami. Implanty zapewniają stabilną bazę, która przywraca komfort i pewność siebie.


PRZED
PO


PO
PRZED


PO
PRZED
Przed i Po Naszych Klientów
lek. dent. Mateusz Rzentała
Jako członek Europejskiego Stowarzyszenia na rzecz Osteointegracji (EUA) , stale doskonalę swoje umiejętności w zakresie nowoczesnych technik implantologicznych, opierających się na najnowszych badaniach i innowacjach w dziedzinie osteointegracji.
Zajmuję się zarówno wszczepianiem implantów, jak i rekonstrukcją ubytków kostnych, a także podnoszeniem dna zatoki szczękowej, co pozwala na uzyskanie optymalnych warunków do wszczepienia implantów, nawet w przypadku dużych ubytków kostnych.

Jesteś w Dobrych Rękach
IMPLANTY
Im więcej zębów Ci brakuje, tym więcej implantów może być potrzebnych. Przy pojedynczych brakach stosujemy implanty z koroną, a przy większych– mosty. W przypadku całkowitego bezzębia alternatywą dla wielu implantów jest Overdenture–stabilna i wygodna proteza oparta na implantach.
KORONY
Jeśli zależy Ci na najwyższej estetyce uśmiechu, idealnym rozwiązaniem będzie korona pełnoceramiczna. Dzięki przepuszczaniu światła doskonale imituje naturalny ząb, zapewniając trwałość, funkcjonalność oraz wygląd, który trudno odróżnić od prawdziwego uzębienia.
Dowiedz się więcej o przykładowych cenach leczenia implantologicznego i elastycznych opcjach finansowania w ramach MediRaty
Ceny Implantów – Poznaj Koszty i Wygodne Raty
Brak Środków? Oferujemy Płatność Ratalną We Współpracy z Firmą MediRaty

Zdrowie jamy ustnej ma największy wpływ na ogólny stan zdrowia funkcjonującego człowieka.
Zastąpienie braków zębowych implantami i ich koronami pozwala funkcjonować tak, jakby braków w uzębieniu nigdy nie było.
Po zakończonym leczeniu implantologicznym znikają też problemy z gryzieniem, żuciem i mówieniem.
Implant i jego korona umożliwiają zminimalizowanie ilości utraconej kości, która zanika w wyniku występowania braków zębowych.
Zachowanie kości może zapobiec utracie zdrowych zębów oraz pozwoli zachować naturalne rysy twarzy.
Obecnie nie ma przeciwwskazań do wprowadzenia implantów.
Są jednak ograniczenia – stany, które wymagają od pacjenta określonych działań, jak np. ograniczenie palenia, ponieważ u osób palących wzrasta ryzyko odrzucenia wszczepu.
W przypadku chorób takich jak: cukrzyca, choroby układu krążenia, choroby stawów, niezbędna może być konsultacja i współpraca z prowadzącym leczenie specjalistą.
Założenie jednego implantu trwa średnio 15 minut i zwykle odbywa się przy miejscowym znieczuleniu.
Już następnego dnia Pacjent może normalnie funkcjonować. Pojawiający się ból uśmierza się najczęściej przy pomocy tradycyjnych środków przeciwbólowych.
Ze względu na to, że wszczepienie implantu odbywa się przy znieczuleniu miejscowym, zabieg ten porównywalny jest do usunięcia zęba jednokorzeniowego.
Po jego zakończeniu stomatolog najczęściej zaleca terapię antybiotykową, która ma zapobiec infekcji.
Przez 2-3 dni dziąsło może być opuchnięte i zasinione, a jego ból porównywalny jest do bólu powstałego podczas uderzenia.
Dla uśmierzenia bólu zaleca się stosowanie tradycyjnych leków przeciwbólowych.
Jedynym ograniczeniem miejscowym jest stan kości wyrostków zębodołowych żuchwy i szczęki, czyli miejsc, w których umieszcza się implanty.
To, czy przeprowadzimy zabieg, w dużej mierze zależy od kondycji, w jakiej znajdują się kość szczęki oraz kość żuchwy.
Konieczne w tym przypadku jest przeprowadzenie pełnej diagnostyki, aby ustalić stan i jakość kości.
W przypadku niedoboru tkanki kostnej najpierw wykonuje się zabieg jej odbudowy, a nastepnie zabieg implantologiczny.
Leczenie implantologiczne to bardzo dobrze udokumentowana i wszechstronnie przebadana metoda uzupełnienia brakującego zęba.
Statystycznie jej skuteczność określa się w co najmniej 96% przypadków.
Najczęściej Zadawane Pytania
Wszystko, co musisz wiedzieć przed zabiegiem – odpowiedzi na najważniejsze pytania dotyczące implantów
Zapewniamy profesjonalną opiekę stomatologiczną z indywidualnym podejściem i przyjazną atmosferą, stawiając na komfort i zdrowie każdego pacjenta.
KoNTAKT:
+48690175275
Plac Jana Kilińskiego 4,
05-300 Mińsk Mazowiecki
© 2026 Forestiadent - Kontakt | Polityka Prywatności